
Willkommen auf der Unterseite des GRC-Zwingers „vom St. Georgsberg“ (FCI/VDH anerkannt). Unsere retrieverbegeisterte Familie hat eine jahrzehntelange Erfahrung mit Goldies, darunter die eigenen Würfe A bis G. Aktuell leben sechs Fellnasen in der Familie, die hauptberuflich den ambulanten Pflegedienst HorizontCare betreibt.
U P D A T E S :
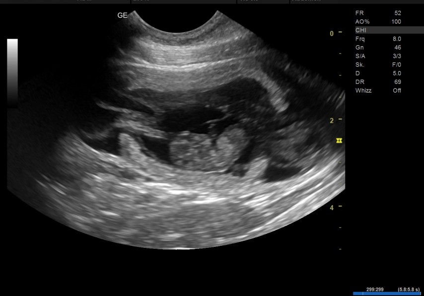
Gute Nachrichten: Die Ultraschall-Untersuchung am 24.04.2026 zeigt, dass in Juna Welpen heranwachsen! Der H-Wurf wird Ende Mai erwartet. Interessenten senden bitte eine E-Mail mit Telefonnummer an info (at) horizontcare.de

Unsere liebevolle Juna ist am 26.03.2026 erstmals gedeckt worden. Deckrüde für den geplanten H-Wurf ist der sanfte, verschmuste Kenzo. Sollte alles klappen, kommen die Welpen Ende Mai; Abgabe wäre frühestens ab 24. Juli.

Die Dokumentation des Ende Juni 2025 abgegebenen G-Wurfs von Zelda ist mit vielen Fotos hier zu finden. Zwei der acht Welpen bleiben planmäßig in der Familie.
Außerdem haben wir für Juna im Juni 2025 erfolgreich die Zuchtzulassung beantragt.
Einen Tag nach der Abgabe der Welpen ist unser Angus am 25.06.2025 im Beisein von Frauchen & Herrchen über die Regenbogenbrücke gegangen.


Unsere aktuellen Hunde (Alter aufsteigend):
-> Nami (behalten aus dem G-Wurf)
-> Ena (behalten aus dem G-Wurf)
-> Juna (geplant: H-Wurf 2026)
-> Zelda
-> Ellie
-> Kira
-> Angus (†)